首页 >标签细胞资源库

标签细胞资源库

基本信息
  • Target Gene (KI Gene): Fgf4 GTP CODE: 25002630
  • KI Locus: C-terminal KI Tag: HA
  • NCBI Reference: NM_010202 Tag Sequence:


质粒信息
  • KI Donor Plasmid 1: pT-Fgf4-C-HA Plasmid 1 Sequence:
  • KI Donor Plasmid 2: Fgf4-C-SG sgRNA Sequence: CCGAGTGTCGCCTACCATGA


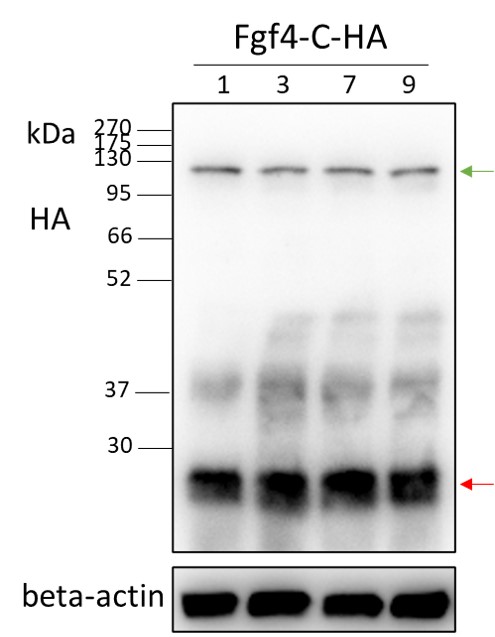
Western Blot及蛋白表达分析信息
  • Western Blot 152x200
  • Protein expression in AG-haESCs:   (+++/++/+/-)