首页 >标签小鼠资源库

标签小鼠资源库

基本信息
  • Target Gene (KI Gene): Nr1h2 GTP CODE: 20001025
  • KI Locus: C-terminal KI Tag: HA
  • NCBI Reference: NM_009473.3 Tag Sequence:
质粒信息
  • KI Donor Plasmid 1: pT-Nr1h2-C-HA Plasmid 1 Sequence:
  • KI Donor Plasmid 2: Nr1h2-C-sg sgRNA Sequence: TCTGGGATGTGCACGAGTAG


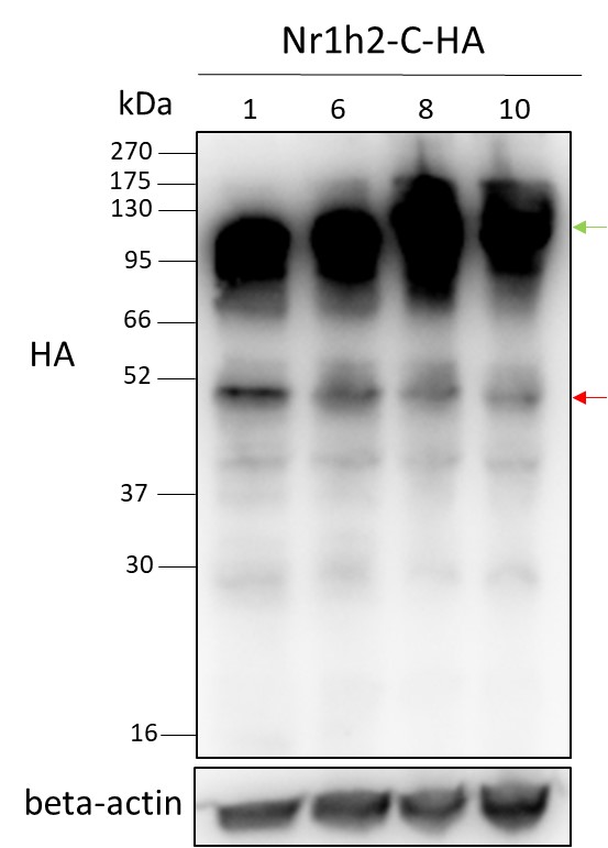
标签细胞蛋白质表达分析信息
  • Western Blot 152x200
  • Protein expression in AG-haESCs:   (+++/++/+/-)


标签小鼠基因型鉴定信息
  • 基因型鉴定文件 152x200


Reference: